Spinal Degeneration, Natural Cure Doctor, Costa Mesa, Orange County, California, Dr. Robert Janda, Chiropractor, Natural Healing, Traditional Naturopath, Naturopathic Healing.
It is a fact that as most people age their spines show serious degeneration. It reaches the point that in many cases people become so stiff and movement becomes so painful that they are semi -paralyzed. It is also a fact that this does not occur in all individuals. Even within an individual we notice that some spinal joints become severely degenerate and the ones nearby do not. Why?
To give a quick and general answer, anything that interferes with normal spinal function will eventually lead to deterioration. The most general factors are trauma ( that injures the tissues surrounding the joint), and subluxation (that block normal motion of the joint) which have been explained elsewhere. Unless the effects of these factors are corrected, vertebral joints will go through several stages of degeneration.
Stage 1: The human spine is not straight, but has as forward curve in the neck, a backward curve in the thoracic area, and a forward curve again in the lumbar area as seen in the illustration below.

In trauma the spinal curves will usually become distorted either by loss of normal primary curves as in the x-ray picture above, or with the development of scoliotic curves (sideways curves) as seen below.

Both of these distortions block normal motion and put unnatural stresses on the joints leading to inflammation. The loss of normal curves an the associated inflammation is the first stage of degeneration.
Stage 2: The next stage in degeneration is the loss of disc height causing slackness in the supporting ligaments and resulting inflammation, as seen below. As the discs loose height the supporting ligaments become lax. To make up for this the body will attempt to stabilize the joints by splinting the muscles around the joint. Disc have not blood supply and receive nutrients only through movement. As the muscle splinting progresses the discs slowly starve and loose more height. So the degeneration progresses.
Stage 3: The instability produces abnormal tugging where the ligaments attach at the borders of the vertebral bodies. This changes the electrical potential of the bone from positive to negative allowing positively charged calcium ions to build up a the attachments of the ligaments. The characteristic indication of stage 3 is bone spurs. The disc is dying.

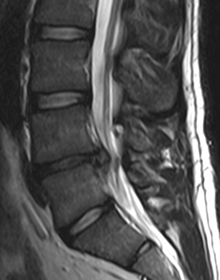
If the disc is traumatically torn or if the degeneration progresses to weaken it the nuclear material can cause bulging of the disc, or can extrude from the disc and hit one of the exciting spinal nerves. This can cause odd sensations (paresthesias), or extreme pain called ‘radicular neuralgia’. If this pain involves the sciatic nerve in the leg it is called sciatica. Usually this occurs in either stage 1, 2 or 3. After this stage of degeneration the disc is usually too dried out and stiff to have extrusions.

Stage 4: Once the disc height progresses to the point that the vertebrae are touching or nearly touching, we have entered stage 4. By this time the disc is largely dried out and either dead or nearly dead. The bone spurs which have been forming can become an increasing problem if they project posteriorly where the nerves exit the spinal canal. If they grow large enough they run the risk of of hitting the nerves and causing symptoms of nerve pain or numbness.
Stage 5: Once the vertebrae have been grinding against each other, bone on bone, further changes take place. In the cervical vertebrae the touching vertebrae often fuse forming 1 bone. In the thoracic and lumbar spine this usually does not occur due to the pressure on the joint from the body weight above this level. Instead, the bones will deform forming odd joints and shapes.
It is characteristic of spinal degeneration to not be painful, surprising as it may seem. There are many exceptions. In general, unless there is some sort of nerve impingement there will be no sign of what is happening, until the final stage. For this reason pain is not a good guide for evaluating the severity and seriousness of this condition. X-rays will usually show a truer picture.